Protesi fissa e mobile a Gravina in Puglia
Nuove tecnologie per la riabilitazione protesica a Gravina in Puglia.
Contatta lo Studio Dentistico Agostinacchio per ricevere maggiori informazioni.
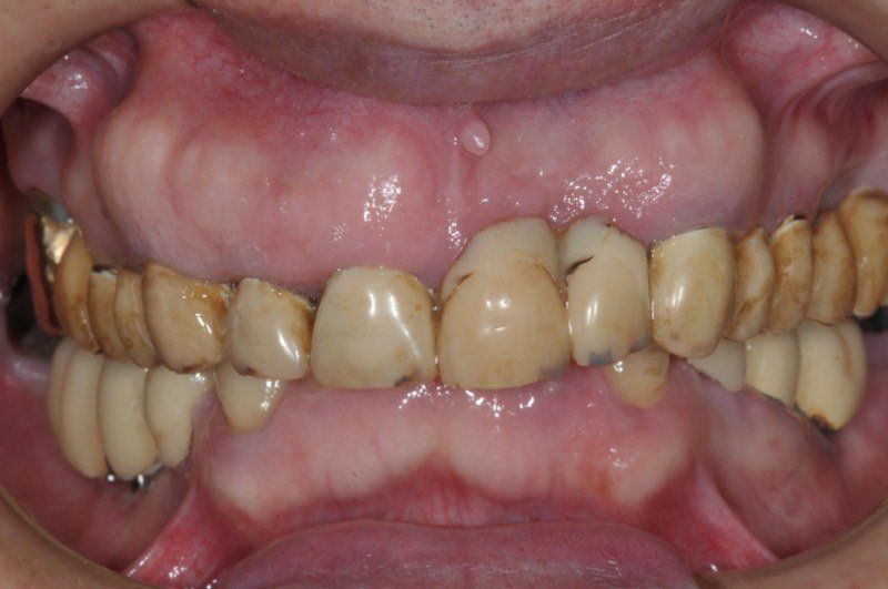
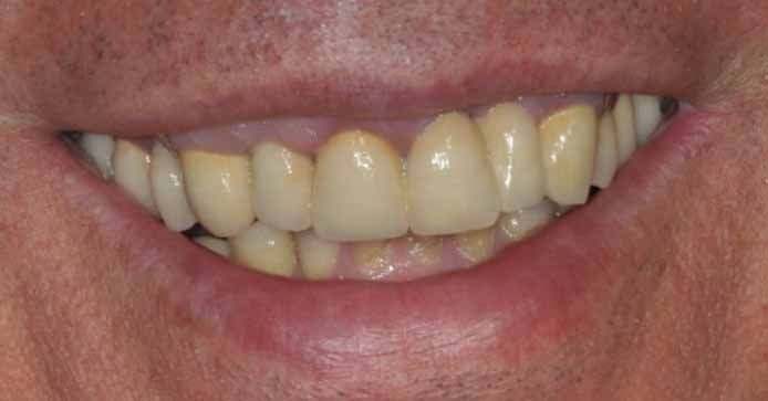
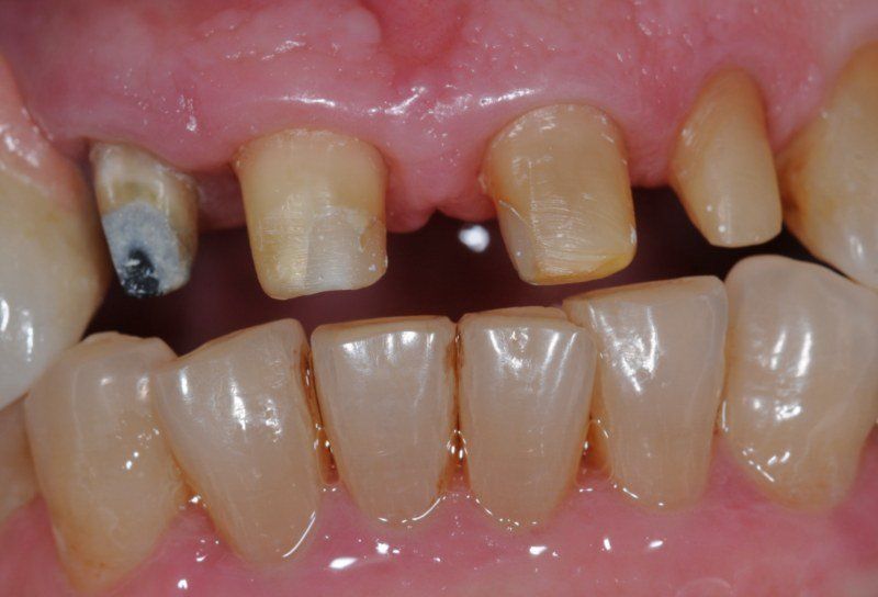
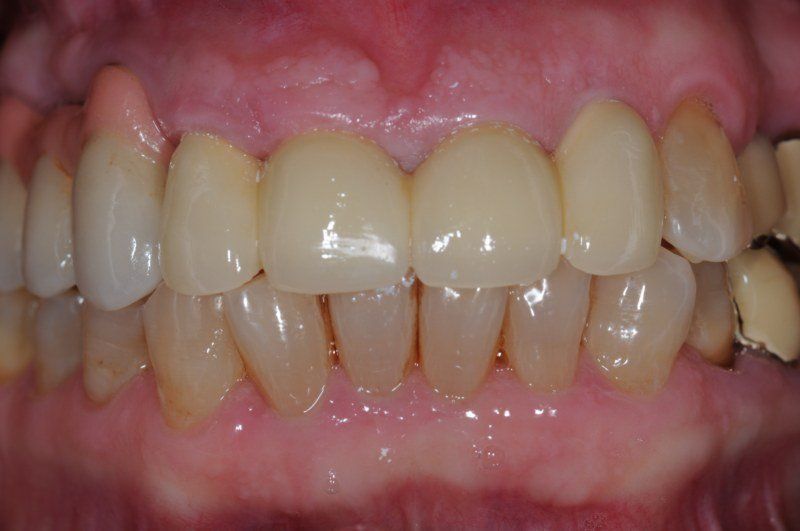
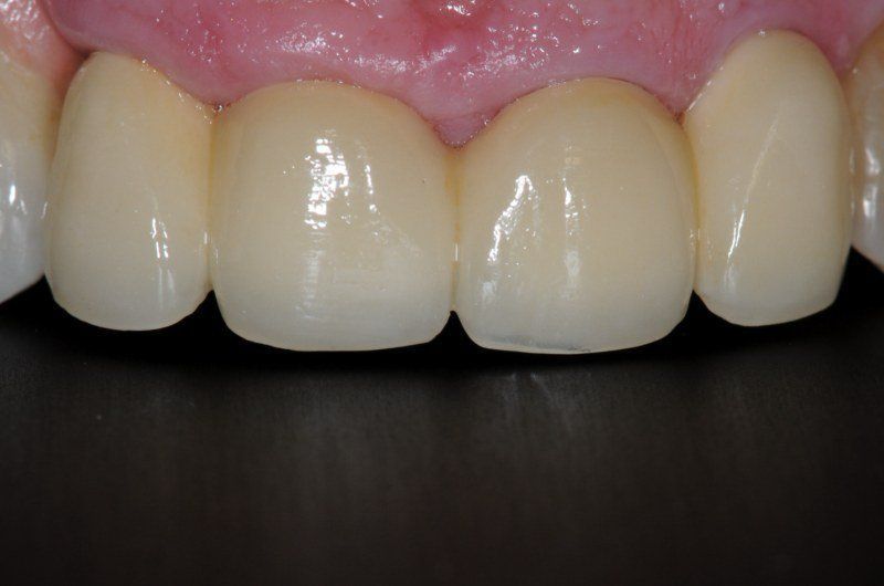
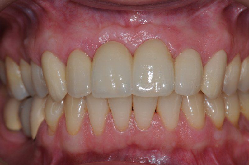
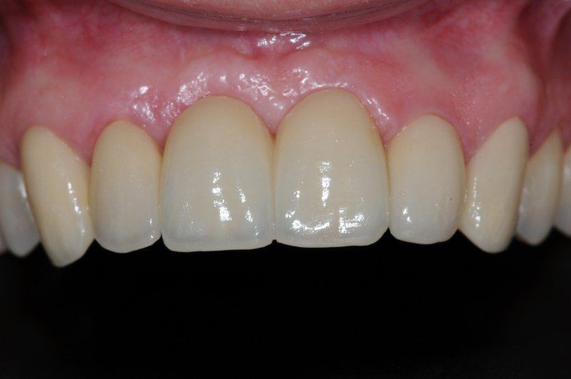
Protesi di alta qualità
Grazie alle nuove tecnologie e all’utilizzo di materiali di ultima generazione è possibile sostituire uno o più elementi dentali con protesi di straordinaria qualità, ottenendo un effetto assolutamente naturale.
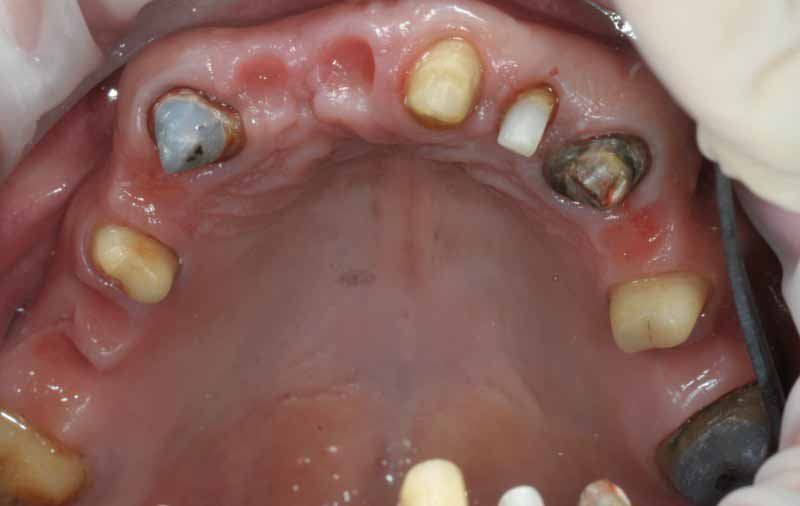
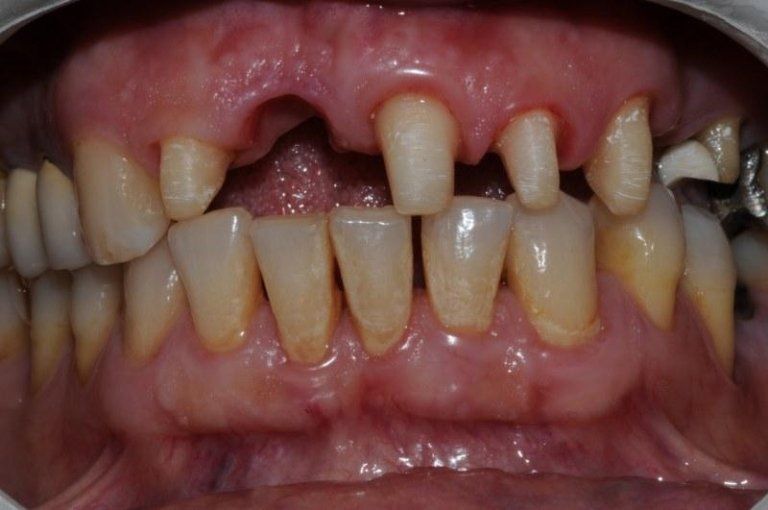
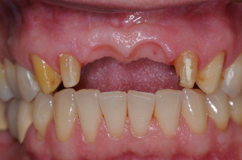
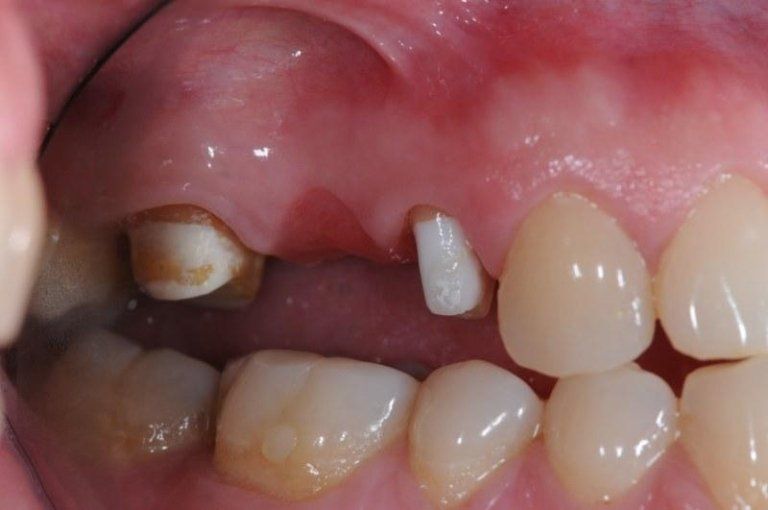
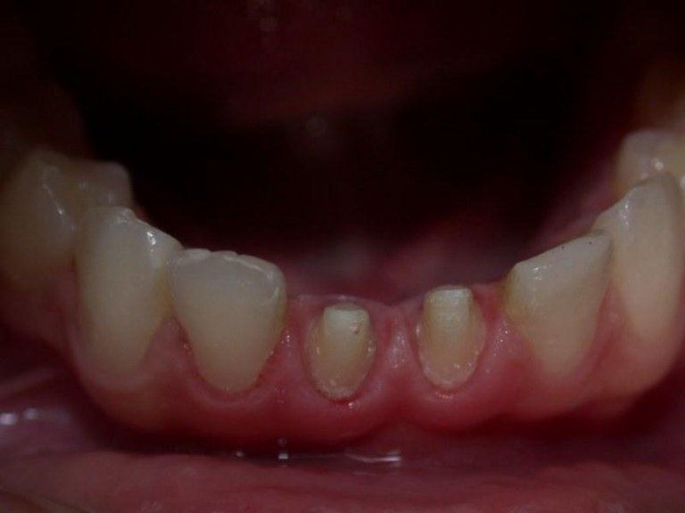
La riabilitazione protesica è una soluzione alternativa per il paziente che non intenda affrontare un intervento chirurgico mirato all’implantologia e può essere fissa o mobile.
In entrambi i casi la protesi deve rispettare alcune importanti caratteristiche e cioè deve essere funzionale ed esteticamente gradevole e naturale.
Deve adempiere ad una corretta masticazione e articolazione dei suoni ma anche ripristinare l’armonia del volto.
Ci avvaliamo di validi Odontotecnici per ottenere risultati protesici di altissima qualità in termini di durata e di valore estetico.
Contatta lo Studio Dentistico Agostinacchio per richiedere informazioni sulle protesi





















