Chirurgia implantare con la tecnica del carico immediato a Gravina in Puglia
Lo Studio Dentistico Agostinacchio di Gravina in Puglia è un punto di riferimento sul territorio nel settore della chirurgia implantare con la tecnica del carico immediato.
Puoi contattare la segreteria per chiedere ulteriori informazioni e fissare un appuntamento. Dopo una prima visita sapremo trovare insieme la soluzione migliore per te.
Soluzioni moderne e risolutive
Il nostro fiore all’occhiello, offrire una soluzione moderna e altamente risolutiva nei casi di pazienti edentuli.
Restituire loro una dentatura fissa e naturale affinché con gli impianti si torni a sorridere con ottimi risultati dal punto di vista estetico e funzionale.
Sappiamo che i denti assolvono un compito di primaria importanza quindi averli belli e sani contribuisce al nostro benessere quotidiano.
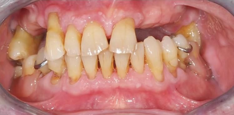
Cos'è la chirurgia implantare
Oggi la chirurgia implantare ci permette di tornare a sorridere con la sicurezza di avere denti indistinguibili da quelli naturali e con risultati duraturi nel tempo.
Nel nostro studio effettuiamo la chirurgia implantare con la tecnica del carico immediato guidata; essa si avvale di un software che pianifica l’intervento, lo attua in modo poco invasivo in tempi rapidi con un decorso post-operatorio non invalidante e privo di fastidiosi postumi.
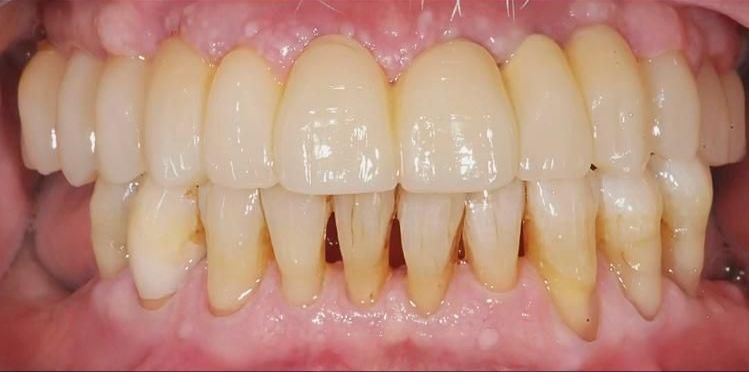
Tecnica del carico immediato
Con la tecnica del carico immediato avremo quindi una riabilitazione funzionale ed estetica in un’unica seduta. Impieghiamo materiali e impianti sicuri, di altissima qualità e a fine intervento ti sarà consegnato un passaporto che garantisce il lavoro svolto a livello internazionale e identifica esattamente il tipo di impianto utilizzato, in caso di bisogno anche all’estero.
Chirurgia guidata per rapidi risultati
Il nostro paziente arriva in Studio e tra anestesia, preparazione del campo operatorio e intervento vanno via un paio di ore.
Dopodiché applichiamo il provvisorio ma spesso procediamo con la protesi definitiva, la cui preparazione richiede un paio di giorni. Quella del carico immediato in Chirurgia Guidata è una tecnica che abbatte tempi e costi oltre che ridurre l’invasività della chirurgia tradizionale.
Contatta lo Studio Dentistico Agostinacchio per richiedere maggiori informazioni sulla chirurgia implantare









