Cura della malattia parodontale
Grazie alla parodontologia è possibile curare la mobilità e successiva perdita dei denti.
Contatta lo Studio Dentistico Agostinacchio di Gravina in Puglia per ricevere maggiori informazioni.
Cos'è la parodontologia
La parodontologia o malattia parodontale è una branca dell’odontoiatria che permette di curare la mobilità e successiva perdita dei denti, la cosiddetta piorrea.
Essa può essere causata da una scarsa attenzione alla cura dell’ Igiene Orale, dal consumo eccessivo di tabacco , alcool e in generale da abitudini di vita scorrette.
La parodontite spesso si presenta senza preavviso e col passare degli anni si possono avvertire i primi sintomi ma a quel punto il danno potrebbe essere irreparabile.
Rivolgiti a noi con fiducia e dopo un’accurata visita troveremo per te la soluzione più idonea.
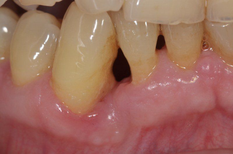
1° Caso: retrazioni gengivali

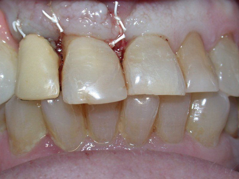
2° Caso: retrazioni gengivali

3° Caso: retrazioni gengivali

Contatta lo Studio Dentistico Agostinacchio per richiedere informazioni o per fissare un appuntamento
















